
この記事のテーマとキーワードにあたる気胸の痛みとは何ですか?
それを主にお伝えして行きます。
気胸の痛みでありその原因の一つとして、呼吸困難も考えられます。
肺が痛むと呼吸が、困難になり息苦しくなる可能性も有り得ます。
息苦しさが、続くと本当に日常生活上大変な苦労を強いられます。
故にその気胸の痛みが、この記事のテーマとキーワードとなります。
その上においてこの記事を作成した理由と対象となる方もお伝えして行きます。
急に肺から息苦しさを感じるようになった方。
息苦しくなり、動く事も困難になった方。
呼吸困難になった方。
肺の状態が悪い方。
予めご了承下さい。
Contents
気胸の痛みと原因とはどの様にしてなるのかをお伝え致します。

まずは気胸とはどぅ言う病気でありどの様な症状なのか?
その事からお伝えして行きます。
肺を包んでいる胸膜と言う部分に空気が溜まった状態を意味します。
具体的には、空気をスーハースーハーと呼吸をする時において肺に酸素を送り込んでも溜まった空気が邪魔となり肺が膨らまず息苦しくなる病気の事です。
また肺に穴が空いた空気が漏れ出した際に、痛みを覚える事も気胸とも呼ばれます。
この状態においては肺の表面上にあるブラと呼ばれる袋が破けて起こります。
いくら空気をスーハースーハーと呼吸してもブラが破けている為、肺内に穴が空いている為に空気が漏れだし息苦しさを覚えます。
故に肺が周囲にある胸壁が神経を刺激する為胸の痛みを訴える事もあります。
胸とは限らず体のどこに痛みが出るか分かりません。
肩、胸、腰、背中等に痛みが出る事もあります。
この病気は10代~30代のやせ形の男性が主になりやすいと言われます。
しかし高齢者にもありますし、女性においては毎月の月経に伴って症状が出る月経随伴性気胸と言う事もあります。
喘息も気胸の一つとして考えられます。
喘息の事でも少し触れますが、この気胸もこの喘息の部類に属します。
喘息は、気道が、炎症を起こす病気です。
当然肺が、痛む事に繋がって来ます。
そもそも息苦しさを感じると、肺の機能も低下します。
この事は、喘息と共通しているなって言うのが、分かります。
と言う病気がこの気胸です。
では何が原因でこの気胸が起こるのか?
その事を今からお伝えして行きます。
あと肺がんも気胸に属していると見てます。
この事は、あくまで個人的な考えにしか過ぎませんが、肺がんも気胸に属していると見てます。
理由として上げたのは、気胸とは、胸の痛みになりますので、当然肺もまた胸の部分に属します。
その事を考えると肺がんも気胸の一つとして考えるべきです。
気胸は二種類に存在する。

気胸は、最低でも二種類の気胸が、存在すると聞きます。
この事は、喘息においても同じ事が、言えます。
喘息の場合は、成人タイプと児童タイプと言う二種類の喘息が、存在します。
この気胸においても二種類の気胸が、存在します。
一体どぅ言う気胸が、存在するのかをお伝えして参ります。
まず自然気胸がどの様な気胸なのかをお伝え致します。

気胸の中において自然気胸と言うのが、存在します。
この自然気胸におけるタイプは、2種類が存在します。
原発性と続発性です。
原発性は先程お伝えした通り、目立った理由がなく若い男性がなるタイプです。
一方続発性は肺癌等が、理由で高齢者に多いタイプです。
分かりやすく言えば、肺がんと言えば、自然気胸だなと言うのが、伝わって来ます。
もぅ一つ上がるのが外傷性気胸です。
このタイプは、交通事故や転落、転倒などによる外傷により肋骨が折れて、肺に折れた骨が突き刺さった状態により起こるタイプです。
外傷性の事は、この通りとなりますが、自然気胸の方が、起こる原因をお伝えして行きます。
自然気胸になる場合とは一体どの様な場合になるのか?
その自然気胸になる原因をお伝え致します。
原発性の場合は、先程お伝えした通り10代~30代の男性特にやせ形高身長の方が、かかりやすいと言われてます。
何故かと言うと調べた範囲になりますが、10代は成長期と言う時期に差し掛かり子供から大人へと変化する時期です。
私もそぅでしたが、身長が大きく伸びる時期でもあり体の筋肉が発達しやすい時期でもあります。
故に成長期と言う事もあり最もと言って良いくらい食べる時期でもあります。
つまり成長期の時が一つの分かれ目。
お伝えしたい事は、成長期と共に肺の発育もあります。
しかし空だと肺の成長のバランスが、崩れてブラが、多く出来る可能性が、あると伝えられております。
特に先程お伝えした通り高身長やせ形体型の方は、肺が収まるスペースが細長く、肺の外側と内側の圧力差が大きくなってブラが出来やすいと言われてます。
原発性気胸になる場合とは一体何か?

一方原発性とはと言うと、肺がんや肺気腫などの病気で起こるタイプです。
分かりやすく言うと肺の病気と言う事に、なります。
肺がんや肺気腫だけでなく次の通りの形が、現れます。
肺炎。
気管支喘息。
肺結核。
慢性閉塞性肺疾患。
肺線維症。
サルコイドーシス。
HIVに発症するニューモシスチス肺炎。
月経随伴性気胸。
肺リンパ脈管筋腫症。
等から来ると言われてます。
肺がんと気管支喘息も原発性の気胸に当てはまって来ます。
よく考えたら肺がんと喘息も胸の痛みである事に変わりありません。
そぅ考えると原発性の気胸として当てはまるのは、自然となります。
改めてお伝えしますとこれ等原発性気胸の原因は、結論で言いますと日常生活から来る生活習慣病が、原因と考えられます。
例えば肺がんなら喫煙であり、喘息ならほこりと言った飛沫となります。
と言う事が気胸の原因であり胸の痛みが起こります。
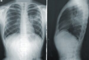
レントゲン検査も対策法の一つ。
治療法として上がっているのは、まず病院それもレントゲン設備が整ってる環境がある病院で、レントゲン検査を行う事です。
会社勤めの方ですと、年に一度健康診断を受ける事が義務付けられてますが、それ以外で日常生活において胸の痛みが出たら即レントゲンを受けるべきです。
レントゲンで肺が真っ白さが、出た場合は気胸となります。
こぅなった場合は、即治療になるでしょう?
場合によっては手術もあります。
完治しても残念ながら再発します。
気胸でドレーンを挿入することや、胸腔鏡下での手術を行っても再発の可能性はあります。
特に喫煙者の方は、肺がもろくなっている場合があるために肺が一度塞がっても穴が開きやすく気胸になる可能性は高くなります。
一度、気胸の診断を受けた方は、必ず禁煙する事をお勧めします。
無理にとまで言えませんが、健康の事を考えたら禁煙をすべきと言う事です。
気胸の痛みと原因のまとめ。

ここまで気胸の事とその気胸になる原因の事をお伝えして参りました。
確かに肺を痛めたり、呼吸困難を患うと、それだけでもかなりお辛い日々を送る形となります。
肺を痛めたり呼吸困難になると、行動範囲が、限られて来ます。
周囲の人と同じ様に、自由で楽しい日々を送りたいのであれば、やはりレントゲン検査をした上で、その原因となる病気の治療をすべきです。
その先には、きっと楽しい日々が、あなたが方に訪れます。


